IDIOMA
Bocas y Boquitas Logo
Bocas y Boquitas odontología élite
Cirugía Especializada · Piedecuesta

Extracciones Dentales y Cordales
Seguridad y Precisión

Una extracción no es solo 'sacar un diente'. En Bocas y Boquitas tu cirugía está exclusivamente en manos de verdaderos maestros: cirujanos especialistas que garantizan una intervención quirúrgica impecable, segura y con anestesia local profunda.

Consultar con Especialista Ver Proceso ↓
😷🦷
Cirujanos de Élite
Exclusividad y Experiencia

Tu cirugía no la hace un odontólogo general. La cercanía a nervios faciales y senos paranasales exige manos entrenadas de verdaderos especialistas.

👨‍⚕️

El Cirujano que Hace la Cirugía Importa Absolutamente Todo

En Bocas y Boquitas tu cirugía está exclusivamente en manos de Cirujanos Especialistas. Médicos con años de experiencia clínica, entrenamiento hospitalario riguroso y una tasa de éxito del 100%.

Extraer un diente o una cordal para ellos es un procedimiento que realizan con maestría; están entrenados para realizar cirugías hospitalarias de altísima complejidad. Tienen la precisión absoluta y el conocimiento total de la anatomía facial. Esa es la verdadera diferencia entre dejar tu boca en manos de un odontólogo general o en manos de un experto absoluto.

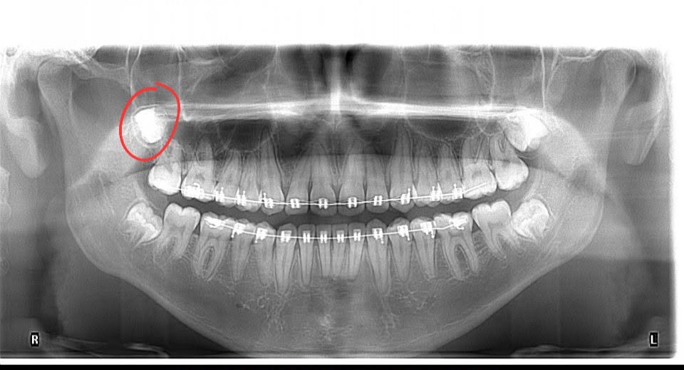
ANTES · 16 AÑOS
Radiografía panorámica a los 16 años mostrando cordal impactada
DESPUÉS · 17 AÑOS
Radiografía panorámica a los 17 años mostrando cordal desplazada al cuello

Un Caso Real: Lo que Pasa Cuando Opera Quien No Debe

Imagen izquierda (16 años): Un paciente adolescente acude a un odontólogo general para extraer su cordal inferior. El círculo rojo señala la pieza antes del intento de extracción.

Imagen derecha (17 años): Tras el intento fallido, el dentista general — sin la destreza ni el instrumental adecuado — aplicó fuerza desmedida, fracturó la zona y empujó la cordal hacia espacios anatómicos profundos del cuello. El círculo rojo muestra exactamente dónde quedó atrapada: rodeada de nervios vitales y vías respiratorias.

Hoy, este joven padece problemas respiratorios y secuelas severas permanentes. Lo que debía ser un procedimiento de 30 minutos se convirtió en una pesadilla. Ahora necesita cirugía reconstructiva hospitalaria de altísima complejidad — cuyo costo es monumentalmente superior al de la extracción original. Lo barato le salió increíblemente caro.

Esto NO ocurrió en nuestra clínica. En Bocas y Boquitas toda cirugía es realizada exclusivamente por cirujanos orales y maxilofaciales de élite. Cosas como esta simplemente no pasan aquí. En salud, ir a la segura no es un lujo — es lo mínimo.

💉

Anestesia Local: Suficiente y Segura

En Bocas y Boquitas no ofrecemos sedación consciente ni anestesia general para extracciones. La anestesia local bien aplicada es completamente suficiente para eliminar el dolor mientras permaneces consciente y en control.

🛡️

Comodidad No Negociable

Aplicamos anestesia digital de alta precisión antes de cualquier intervención. Si en algún momento sientes cualquier molestia, el cirujano refuerza la anestesia de inmediato. Añadir sedación no mejora el resultado, pero introduce riesgos médicos.

SEÑALES DE ALERTA

¿Cuándo hay que Extraer un Diente o Cordal?

Extraer una pieza siempre es el último recurso (salvo los cordales), pero cuando aparece alguna de estas situaciones, esperar solo empeora el daño y pone en riesgo tu salud.

Dolor o Infección

Pericoronitis en cordales (inflamación severa de la encía) que no cede, o infecciones recurrentes.

🦴

Diente Impactado

Atrapado en el hueso sin posibilidad de erupcionar correctamente. Una bomba de tiempo visible en la radiografía.

🦠

Destrucción Masiva

Caries irreparables donde ya no queda estructura sana suficiente para hacer una reconstrucción.

🩻

Quiste o Lesión

Los quistes crecen en silencio y destruyen hueso maxilar. Detectarlos a tiempo evita resecciones mayores.

📏

Por Ortodoncia

Cuando se requiere crear espacio en casos de apiñamiento severo o los cordales empujarán la mordida.

💥

Daño al Molar Vecino

Reabsorción radicular del molar adyacente causadas por la presión constante de una cordal en mala posición.

INVERSIÓN

Precios Claros Desde el Inicio

El precio varía según la posición y complejidad. Te damos el presupuesto exacto después de la valoración radiográfica — obligatoria antes de cualquier cirugía.

💎

Grandes Ahorros en Múltiples Extracciones

Aprovecha al máximo tu cita. Al planificar la extracción de varias piezas o cordales en una misma intervención, el precio de cada extracción se reduce drásticamente. Menos estrés, una sola recuperación post-operatoria, un solo ciclo de medicamentos y un ahorro significativo para tu bolsillo.

Extracción Simple
$220.000
COP
Diente erupcionado sin complicaciones anatómicas.
Cordal Erupcionado
$300.000 - $500.000
COP
Según complejidad. Mayor descuento por cantidad.
Cordal Impactado
$500.000
COP
Cordal incluido, retenido en hueso o profundo.

Incluido en el Precio

  • Anestesia local profunda de alta precisión
  • Procedimiento quirúrgico con cirujano especialista
  • Sutura con hilos reabsorbibles
  • Gasas post-operatorias para el hogar
  • Instrucciones detalladas de cuidado
  • Certificado de incapacidad (si aplica)

No Incluido (A cargo del paciente)

  • Radiografía panorámica (Obligatoria previa cirugía)
  • Antibióticos y analgésicos post-operatorios

La fórmula médica se entrega al finalizar la intervención para que adquieras los medicamentos prescritos en tu farmacia de confianza.

METODOLOGÍA

El Proceso, Paso a Paso

Cada paso tiene un propósito. Nada al azar — todo planificado meticulosamente por el cirujano para que la cirugía sea segura.

1

Valoración Radiográfica

Evaluamos la radiografía panorámica para ver la posición exacta, proximidad a nervios y complejidad. Sin este paso, ningún cirujano responsable agenda la cirugía.

2

Anestesia Local Profunda

Bloquea completamente el dolor. Si sientes cualquier molestia, el cirujano refuerza de inmediato. Permaneces consciente y en control total.

3

Extracción Maestra

El cirujano realiza la incisión, retira el hueso que cubre el diente y lo extrae — en ocasiones seccionándolo estratégicamente para minimizar el trauma al tejido.

4

Sutura y Post-Operatorio

Suturamos con precisión. Recibes gasas, instrucciones estrictas de cuidado y la fórmula médica. Todo el protocolo está diseñado para tu recuperación.

CUIDADOS EN CASA

Recuperación: Tu Parte del Proceso

La cirugía la hace el experto. Estas instrucciones son tu parte — y son las que marcan la diferencia entre una recuperación rápida y el dolor evitable.

Primeras 24 Horas

  • Muerde la gasa 45-60 min para controlar el sangrado.
  • Hielo: 20 min aplicado, 20 min de descanso.
  • NO escupas ni hagas enjuagues fuertes.
  • Dieta fría y líquida/blanda (helado, yogurt).
  • Duerme con la cabeza elevada.

Días 2 a 7

  • Enjuagues suaves con agua tibia y sal desde el día 2.
  • Dieta blanda (puré, huevo, pasta suave).
  • Evita alcohol, tabaco y ejercicio intenso.
  • Higiene oral normal, evitando la zona quirúrgica.
  • Termina todo el ciclo de antibiótico.

🚨 Contáctanos Inmediatamente Si:

El sangrado no se detiene tras 3 horas mordiendo gasa. Tienes fiebre mayor a 38°C. La inflamación aumenta en lugar de bajar después del tercer día. El dolor es severo y no cede con analgésicos. Sientes mal olor persistente o dificultad para tragar.

PREGUNTAS FRECUENTES

Resolvemos tus Dudas

¿Debo extraer los 4 cordales al mismo tiempo?
Sí, extraerlos todos en una cita es lo más inteligente: pagas mucho menos por cada diente, tomas antibióticos una sola vez y pasas por la recuperación una única vez. El cirujano te confirmará si tu caso específico lo permite.
¿Cuántos días de incapacidad voy a necesitar?
Trabajo de oficina: 2 a 3 días. Trabajo físico: 5 a 7 días. Todo depende de la complejidad de la cirugía. El especialista te entregará el certificado médico necesario.
¿La anestesia local es suficiente? ¿No necesito sedación?
Sí, es completamente suficiente. Bloquea el dolor al 100%. No usamos sedación porque añade graves riesgos vitales innecesarios. Nuestros cirujanos garantizan que, si sientes molestia, reforzarán la anestesia de inmediato.
¿También realizan frenectomías y apicectomías?
Sí, con los mismos estándares de élite. Las frenectomías las realizamos con láser de diodo. Las apicectomías tienen un valor de $800.000 y requieren valoración previa.

La Seguridad No Tiene Precio

Tu rostro y tu salud no son para experimentar. Escríbenos ahora y asegura que tu cirugía esté en las mejores manos posibles.

Agendar Valoración con Cirujano

📍 Edificio Pie de la Cuesta, Cl 9 #7-81, Piedecuesta · Lun–Vie 8am–6pm · Sáb 8am–12pm

Bocas y Boquitas Edificio Pie de la Cuesta, Cl 9 #7-81, Piedecuesta, Santander
Cómo Llegar
WhatsApp